News
Studio Dentistico Martini - Dentista a Verona in Borgo Venezia

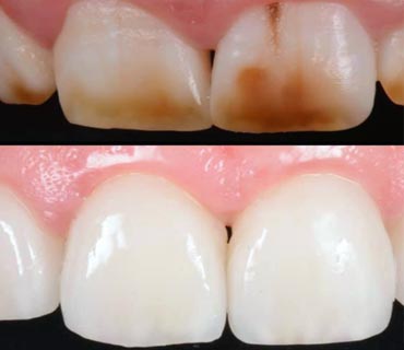
Odontoiatria pediatrica
Ai nostri pazienti più piccoli dedichiamo tutte le attenzioni di cui hanno bisogno.
Studio Dentistico Martini - Dentista a Verona in Borgo Venezia
Ai nostri pazienti più piccoli dedichiamo tutte le attenzioni di cui hanno bisogno.